Introduction
Tooth pain when chewing is one of the most common—and most frustrating—dental issues. It might feel like a sharp jolt, a dull ache, or pressure that only shows up when you bite down.
The problem is that this type of pain is rarely random. In most cases, it’s your body signaling that something deeper needs attention.
In this guide, we’ll break down the 7 most common causes of tooth pain when chewing, how to identify them, and when it’s time to see a dentist.
What Does Tooth Pain When Chewing Mean?
Pain while chewing typically indicates:
- Damage to the tooth structure
- Inflammation or infection
- Issues with surrounding gums or bone
The key detail is that pain under pressure usually points to a structural issue rather than simple sensitivity.
7 Possible Causes of Tooth Pain When Chewing
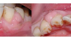
1. Tooth Decay (Cavities)
Cavities are one of the most common causes of tooth pain, especially when pressure is applied during chewing. As decay progresses, it weakens the outer enamel and exposes more sensitive inner layers of the tooth.


Cavities weaken the enamel and expose the inner layers of the tooth. When you chew, pressure hits these sensitive areas.
Learn more: https://www.nidcr.nih.gov/health-info/tooth-decay
Signs:
- Sharp or localized pain
- Sensitivity to sweets or temperature
- Visible holes or discoloration
Treatment:
- Fillings (early stage)
- Crowns (advanced cases)
2. Cracked Tooth
A cracked tooth can be difficult to detect but is a frequent cause of pain when chewing. The crack may not be visible, yet it can allow pressure to affect the inner structures of the tooth.


A cracked tooth can cause pain only when biting—especially when releasing pressure.
Learn more: https://my.clevelandclinic.org/health/diseases/10997-cracked-tooth
Signs:
- Pain when chewing, but not constant
- Sensitivity to hot/cold
- No obvious visible damage
Treatment:
- Dental crown
- Root canal (if nerve affected)
3. Loose or Damaged Filling
Fillings are not permanent and can wear down or break over time. When this happens, the underlying tooth may become exposed and sensitive to pressure.


Old fillings can crack or loosen over time, exposing sensitive areas.
Learn more: https://www.mouthhealthy.org/en/az-topics/f/fillings
Signs:
- Pain when biting
- Food getting stuck
- Rough or uneven tooth surface
Treatment:
- Replace filling
- Upgrade to crown if needed
4. Gum Disease (Periodontal Issues)
Gum disease affects the tissues and bone that support your teeth. As it progresses, it can cause instability, making chewing uncomfortable or painful.

When gums and supporting bone weaken, teeth become unstable—making chewing painful.
Learn more: https://www.cdc.gov/oralhealth/conditions/periodontal-disease.html
Signs:
- Swollen or bleeding gums
- Bad breath
- Loose teeth
Treatment:
- Deep cleaning (scaling & root planing)
- Ongoing periodontal care
5. Tooth Abscess (Infection)
An abscess is a serious dental infection that develops at the root of a tooth or between the gum and tooth. This condition can cause intense pain, especially when chewing.


An abscess is a serious infection at the root of the tooth.
Learn more: https://www.mayoclinic.org/diseases-conditions/tooth-abscess
Signs:
- Severe pain when chewing
- Swelling in gums or face
- Fever or bad taste
This is urgent and should not be delayed.
Treatment:
- Root canal
- Antibiotics
- Extraction (if necessary)
6. Bite Misalignment (Occlusion Issues)
When your bite is not properly aligned, certain teeth can absorb more force than they should. Over time, this uneven pressure can lead to pain when chewing.

If your bite is off, certain teeth absorb too much pressure.
Learn more: https://www.ncbi.nlm.nih.gov/books/NBK557634/
Signs:
- Pain in one specific tooth
- Jaw discomfort
- Uneven wear on teeth
Treatment:
- Bite adjustment
- Night guard (if grinding involved)
7. Tooth Sensitivity or Worn Enamel
Enamel naturally wears down over time or due to habits like grinding or acidic foods. When this protective layer is reduced, the tooth becomes more sensitive to pressure and temperature.

Enamel loss exposes dentin, making pressure and temperature more painful.
Learn more: https://www.nidcr.nih.gov/health-info/tooth-sensitivity
Signs:
- Mild to moderate discomfort
- Triggered by hot, cold, or pressure
- No visible damage
Treatment:
- Desensitizing toothpaste
- Fluoride treatments
- Bonding or crowns in severe cases
When Should You See a Dentist?
You should schedule an appointment if:
- Pain lasts more than 1–2 days
- It’s getting worse
- There’s swelling or fever
- You avoid chewing on one side
Pain is your body’s warning system and should not be ignored.
How Dentists Diagnose the Problem
Your dentist may use:
- X-rays
- Bite tests
- Visual examination
- Sensitivity testing
The goal is to identify the exact source rather than simply treating symptoms.
Treatment Options (Depending on Cause)
Treatment may include:
- Fillings or crowns
- Root canal therapy
- Gum treatment
- Bite adjustment
- Tooth replacement (in severe cases)
How to Prevent Tooth Pain When Chewing
- Brush twice daily
- Floss regularly
- Avoid chewing hard objects (ice, pens)
- Visit your dentist every 6 months
- Address small issues early
Prevention is always more effective and less costly than treatment.
Conclusion
Tooth pain when chewing is never something to ignore. Whether it’s a minor cavity or a more serious issue like a cracked tooth or infection, early treatment makes all the difference.
If you’re experiencing discomfort when biting or chewing, schedule an evaluation at one of our convenient locations:
- Fallbrook Office: https://www.adhp.com/fallbrook-dentist/
- Torrance Office: https://www.adhp.com/dentist-in-torrance-ca/
Early diagnosis can prevent more serious issues and help restore your comfort quickly.



